Der besondere Fall: Tinka
Patient: Tinka , 5 jährige Mischlingshündin, weiblich kastriert
Tinka hat, wie viele große Hunde, kein großes Problem mit Zahnbelägen. Trotzdem werden ihr regelmäßig die Zähne geputzt. Der Besitzerin war aufgefallen, dass sie trotz fleißiger Putzaktionen hin und wieder Mundgeruch feststellen konnte. Weiterhin fand sich ein kleines „Bläschen“ am Zahnfleischrand des unteren 4. Prämolaren im linken Unterkiefer. Die Hündin verhielt sich normal, spielte wie immer und zeigte auch keine Veränderungen im Fressverhalten.
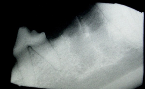
Die spezielle Untersuchung bestätigte den Befund. Das „Bläschen“ stellte sich als Fistelöffnung dar, aus welcher sich eitriges Sekret entleerte. Obwohl der Zahn nicht beschädigt zu sein schien, bestand der Verdacht auf eine Veränderung im Bereich der Zahnwurzeln. Tinka wurde in Narkose gelegt um eine Röntgenaufnahme anzufertigen. Ein röntgensichtbares Guttaperchastiftchen wurde ca. 10mm tief in die Fistelöffnung eingelegt um den Ursprung und Verlauf des Fistelganges darstellen zu können.

Die Röntgenaufnahme wurde in lateralem Strahlengang ausgeführt. Zu sehen ist das sich weiss darstellende Guttaperchastiftchen , dessen Spitze bis zum unteren Drittel der vorderen Wurzel geschoben werden konnte. Beide Wurzeln waren durch Resorption in ihrer Form stark verändert (rote Kontur). Der gesamte Knochen im Bereich der Zahnwurzeln war durch Osteolyse zerstört (schwarze Kontur).

Der Zahn wurde extrahiert, das Zahnfach gespült und die Wunde vernäht. Abschließend wurden alle Zähne mit Ultraschall gesäubert, poliert und mit einem Fluorschaum versehen.
Eine abschliessende Röntgenaufnahme zeigt das leere Zahnfach und man sieht, dass der Zahn komplett entfernt werden konnte.

Die Wurzeln waren zu großen Teilen resorbiert und zerstört, die Pulpahöhle lag frei, der Nerv war bereits abgestorben.

Die Hündin erhielt ein Antibiotikum und Schmerzmittel und wurde in den Aufwachraum gebracht.
Ca. 30 Minuten nach dem Eingriff war sie fit und durfte mit ihrem Frauchen die Praxis verlassen.
Der Heilverlauf war unauffällig und verlief ohne Komplikationen. Die Fäden sind selbst auflösend und mussten nicht gezogen werden. 3 Wochen nach der Operation wurde die Hündin nochmals vorgestellt: die Fistel war abgeheilt und der Extraktionsbereich sah reizlos aus. Tinka fühlte sich sehr gut und schien sogar etwas munterer und ausgeglichener.
Der Mundgeruch war übrigens komplett verschwunden. Und noch etwas war der Besitzerin aufgefallen: Tinka hatte sich immer an den Vorderläufen geschleckt- dieses Verhalten war komplett verschwunden.
Fazit: Hunde zeigen in den seltensten Fällen an, dass sie Zahnprobleme haben. Das bedeutet nicht, dass sie keine Zahnschmerzen haben können- sie leben einfach damit, denn sie wollen keine Schwächen zeigen. Eine überlebenswichtige Verhaltensweise für ein Tier, welches im Rudel lebt.
In diesem Falle war es der aufmerksamen Besitzerin zu verdanken, dass sie Tinka´s Problem entdecken konnte.
1. Mundgeruch beim Hund ist niemals „normal“. Tritt er phasenweise auf, ist nach einer Ursache zu suchen. In diesem Falle trat sporadisch eitriges Sekret aus der Fistelöffnung aus- das riecht eine sensible Hundebesitzerinnen-Nase!!!!
2. Fistelöffnungen sind NICHT normal: hier versucht der Körper irgendetwas abzustossen- in diesem Falle nekrotische Zahnwurzeln.
3. Kaut der Hund einseitig hat er dafür einen Grund- er benutzt hauptsächlich die Seite die nicht schmerzt.
4. Tritt eitriges Sekret aus Fistelöffnungen aus nimmt dies der Hund war: er „ schmeckt“ es und beginnt den Speichel durch Lecken an den Pfoten loszuwerden.